右上1番の歯根の先に膿がたまっています。冠をはずして根の治療をしました。
数年後膿は消えています。
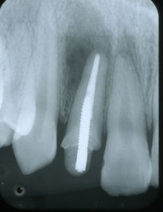
歯の根の治療を歯の頭の部分からアプローチしていきますが、どうしても根の部分にまで到達できない場合もあります。
そのような場合には矯正力をかけて歯の根の歯根膜細胞を増殖させた後に一旦口腔外に取り出し、根の先を密封してから再び口腔内に戻します。麻酔をしますので痛みもなく、根の先の膿もきちんと治ります。
根の治療をした歯は質的にはもろくなりますし、色も濃く変色してきますので、
原則的には冠を被せていきます。
私たちは陶材を使った冠を入れるときはフルオーダーメイドでお口の中で
最終的な色つけをして装着いたします。
| 歯の高さ等調整し終わってから、色を合わせた後に艶焼きします。 | |
口の中の健康を保つ上で大きな役割を担っているのが歯内療法です。
虫歯と歯周病は目に見える範囲にありますが、目に見えない骨の中にある、
しかも根っこの先の膿を治す治療が歯内療法です。



ただし、根の治療がいかにうまくいっていても歯自体はもろくなっています。
神経の治療をしなければならないほどの大きな虫歯を作らないことが大切なのです。
根の先をいかに緊密に圧力かけて密閉するかが問題なのです。




歯内療法